Διεθνή επικαιρότητα

Τι ακριβώς συμβαίνει μέσα στον εγκέφαλό μας όταν μας έρχεται επιφοίτηση

Όλοι έχουμε βιώσει μια στιγμή επιφοίτησης, όταν η λύση σε ένα πρόβλημα γίνεται ξαφνικά προφανής. Στα κινούμενα σχέδια, η στιγμή αυτή απεικονίζεται συνήθως ως μια λάμπα που αιωρείται πάνω από το κεφάλι ενός χαρακτήρα – κάτι που δεν απέχει πολύ από αυτό που πραγματικά συμβαίνει στον εγκέφαλό μας στη συγκεκριμένη περίπτωση.

Ερευνητές έχουν αποκαλύψει ότι οι επιφοιτήσεις αναδιαμορφώνουν την εγκεφαλική δραστηριότητα, αναφέρει το Gizmodo. Επιπλέον, ανακάλυψαν ότι οι άνθρωποι θυμούνται καλύτερα τις στιγμές επιφοίτησης απ’ ό,τι τις λύσεις στις οποίες καταλήγουν με μια πιο μεθοδική προσέγγιση. Αυτά τα αποτελέσματα θα μπορούσαν να έχουν σημαντικές επιπτώσεις στον τρόπο με τον οποίο οι εκπαιδευτικοί προσεγγίζουν τη διδασκαλία στην τάξη.

«Αν έχετε μια στιγμή επιφοίτησης ενώ μαθαίνετε κάτι, η μνήμη σας σχεδόν διπλασιάζεται», δήλωσε ο Roberto Cabeza, καθηγητής Ψυχολογίας και Νευροεπιστήμης στο Πανεπιστήμιο Duke. «Υπάρχουν λίγα φαινόμενα μνήμης που είναι τόσο ισχυρά».

Ο Cabeza είναι ο κύριος συγγραφέας μιας μελέτης που δημοσιεύθηκε πρόσφατα στο περιοδικό Nature Communications.

Γρίφοι και εγκεφαλική δραστηριότητα

Καθώς οι συμμετέχοντες στη μελέτη έλυναν γρίφους, ο ίδιος και οι συνεργάτες του κατέγραφαν τη δραστηριότητα του εγκεφάλου τους με λειτουργική μαγνητική τομογραφία, μια τεχνική που μετρά τις αλλαγές στη ροή του αίματος που σχετίζονται με τη δραστηριότητα του εγκεφάλου. Οι γρίφοι ήταν οπτικά παζλ με κενά που αποκάλυπταν μια κρυμμένη εικόνα όταν οι συμμετέχοντες τα συμπλήρωναν.

Μόλις οι συμμετέχοντες πίστευαν ότι είχαν λύσει ένα γρίφο, η ομάδα τους ρωτούσε πόσο σίγουροι ήταν για τη λύση τους και αν είχαν φτάσει στη λύση ξαφνικά (σε μια στιγμή επιφοίτησης) ή αν την είχαν βρει πιο μεθοδικά.

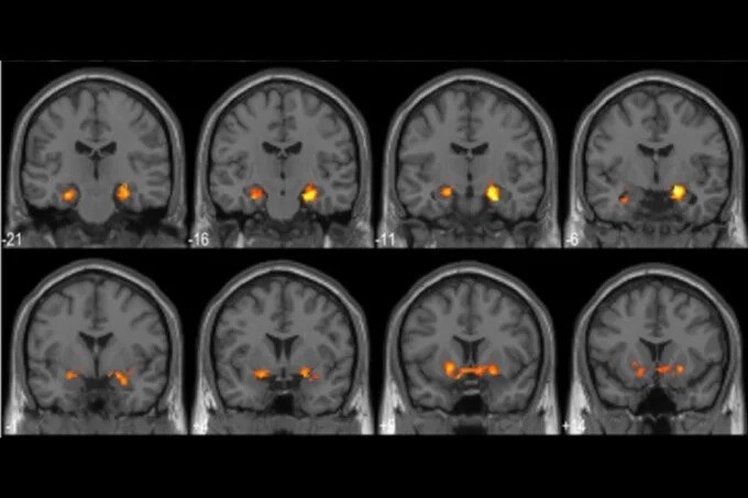
Απεικόνιση της δραστηριότητας στον ανθρώπινο εγκέφαλο τη στιγμή μιας επιφοίτησης

Duke University

Συνολικά, οι ερευνητές παρατήρησαν ότι οι συμμετέχοντες που ανέφεραν επιφοίτηση θυμόντουσαν τις λύσεις τους καλύτερα από εκείνους που δεν είχαν – και όσο πιο σίγουροι ήταν για την επιφοίτηση τους, τόσο μεγαλύτερη ήταν η πιθανότητα να την θυμούνται πέντε ημέρες αργότερα.

Η λειτουργική μαγνητική τομογραφία αποκάλυψε ότι οι επιφοιτήσεις προκάλεσαν μια έκρηξη δραστηριότητας στον ιππόκαμπο, μια εγκεφαλική δομή που συμμετέχει στη μάθηση και τη μνήμη. Οι ισχυρότερες στιγμές επιφοίτησης προκάλεσαν ισχυρότερες εκρήξεις δραστηριότητας. Όταν οι συμμετέχοντες έλυναν το γρίφο και αναγνώριζαν το κρυμμένο αντικείμενο, οι ερευνητές παρατήρησαν επίσης αλλαγές στη δυναμική της νευρωνικής δραστηριότητας των συμμετεχόντων, ειδικά σε περιοχές του κοιλιακού ινιακο-κροταφικού φλοιού, ο οποίος εμπλέκεται στην αναγνώριση οπτικών προτύπων. Ομοίως, όσο πιο ισχυρή ήταν η στιγμή της επιφοίτησης, τόσο μεγαλύτερες ήταν οι αλλαγές που κατέγραψαν οι ερευνητές.

Διαβάστε ακόμη:
Τι ακριβώς συμβαίνει στον εγκέφαλό μας την ώρα που διαβάζουμε ένα βιβλίο

«Κατά τη διάρκεια αυτών των στιγμών, ο εγκέφαλος αναδιοργανώνει τον τρόπο με τον οποίο βλέπει την εικόνα», δήλωσε ο Maxi Becker, πρώτος συγγραφέας της μελέτης και γνωστικός νευροεπιστήμονας στο Πανεπιστήμιο Humboldt. Επιπλέον, οι ερευνητές συνέδεσαν τις πιο ισχυρές επιφοιτήσεις με μεγαλύτερη συνδεσιμότητα μεταξύ αυτών των τμημάτων του εγκεφάλου. «Οι διαφορετικές περιοχές επικοινωνούν μεταξύ τους πιο αποτελεσματικά», δήλωσε ο Cabeza.

Ως εκ τούτου, «τα μαθησιακά περιβάλλοντα που ενθαρρύνουν την επιφοίτηση θα μπορούσαν να ενισχύσουν τη μακροπρόθεσμη μνήμη και την κατανόηση», έγραψαν οι ερευνητές σε ανακοίνωσή τους.

Το επόμενο βήμα

Μέχρι στιγμής, η ομάδα κατάφερε να χαρτογραφήσει τη δραστηριότητα του εγκεφάλου πριν και μετά τη στιγμή της επιφοίτησης. Το επόμενο βήμα είναι να κατανοήσουν τι συμβαίνει κατά τη διάρκεια του «μεταβατικού» σταδίου, εκεί που ο εγκέφαλος κάνει το «κλικ» και η λύση προβάλλει ξαφνικά.

Αν οι επιστήμονες καταφέρουν να χαρτογραφήσουν με ακρίβεια αυτή τη διαδικασία, τότε ίσως μπορέσουμε να σχεδιάσουμε καλύτερες διδακτικές στρατηγικές, ακόμα και ψηφιακά εργαλεία ή γνωστικά τεστ που θα ενισχύουν την ικανότητά μας να σκεφτόμαστε δημιουργικά και να θυμόμαστε πιο αποτελεσματικά.

Related Articles

Αφήστε μια απάντηση

Η ηλ. διεύθυνση σας δεν δημοσιεύεται. Τα υποχρεωτικά πεδία σημειώνονται με *

Back to top button